This is actually a dental curing light, just being creative 🙂


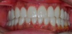
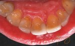
When passion becomes your profession..making people smile becomes your habit! here’s my recent case of cosmetic dentistry:
© Copyrights protected
Superluwi Sarangaya Netro — The Philippines is beyond grateful. #TulongPH#YolandaPH

Amazing artwork and thank you to all wonderful people who offered their help…May the suffering of all those affected by typhoon ” Yolanda” ends shortly.
jamilamimi
I can’t think of anything spooky or uncanny pictures I took, so I guess this eerie eyes will do!


” We all live under the same sky, but we don’t all have the same horizon ” – arabian proverb
“Green is growing…beautybeyondfifty is hopeful… continue to grow, to learn and share!”
jamilamimi
Good morning PREDNISOLON! Eight tablets every morning …positively hoping for early recovery, no imminent side effects and wishing for no relapse. Thank you Lord.




April 2013 at Skagit Valley Tulip Festival

Unforgettable experience


You must be logged in to post a comment.