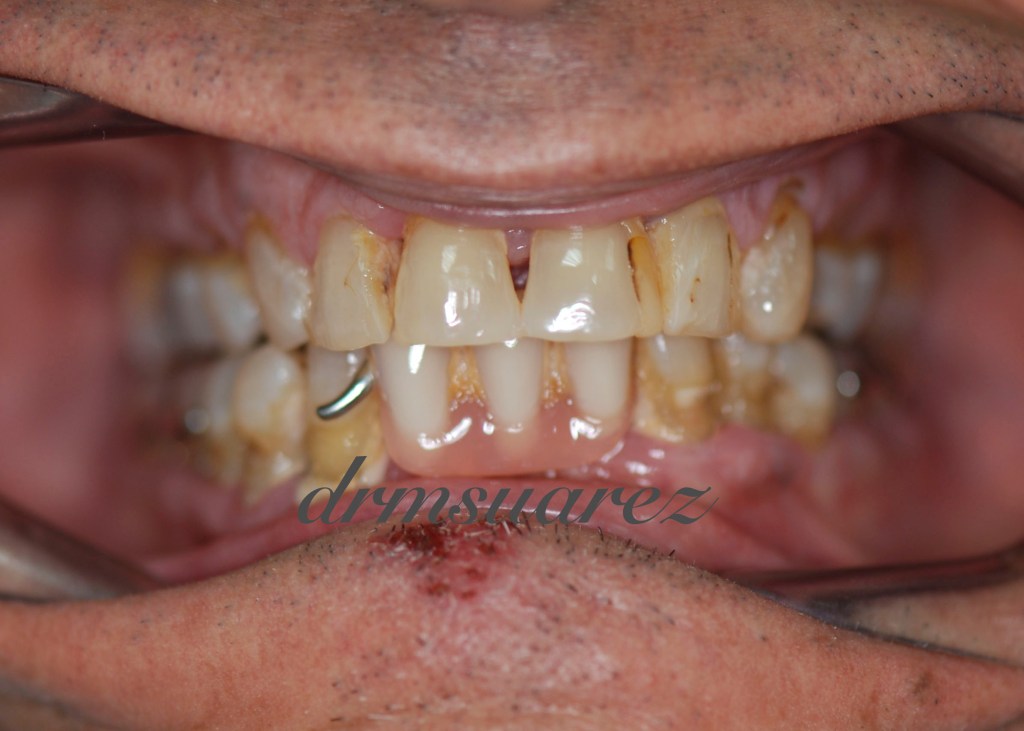
I have a 72 years old male patient came in for consultation. His main concern..”spaces in front of the two front teeth”.
Him: Can you do something?

Me: Yes, I can.. but your teeth will look a bit wider and longer .
Him: would it look nice? will it improve my appearance?
Me: (looking at the other adjacent teeth, considering his oral hygiene) If only to close the space at the middle, maybe 20%! but lets start first in cleaning your teeth so I can get the real shade of the teeth. He agreed and I proceeded to remove the old composite filling and restored the teeth with direct composite veneer.(E.max ย direct).

His eyes beamed at the prospect of having 20% improvement. However, when I handed him the mirror, he was so pleased to look at his front teeth and proceeded to do the rest of his teeth. the rest is history, ๐ It feels good to see him very happy.


Ladies, there’s always room for smile improvement ,no matter how old and whether you are man or woman ๐
beauty shines beyond fifty!
Cheers!
Jamilamimi




Comments
2 responses to “Weekly Photo Challenge: Room”
Dear Jamilaย Hi, I read your notes today, Nice! I am 51 years old living in Riyadh since Sept 2013, Im a Chef but accidentally my front tooth broke when I bite the dark chocolate bar, (sorry tinikman ko lang) but that tooth was a root-canal, now Im bungi. I am sure you have the best clinic in Jeddah, we have also branch called Bab Al Yemen restaurant there. Never I see what is Jeddah yet. I dont know if you have clinic here in Riyadh, otherwise please suggest?
Cheers!
LikeLike
Dear ben,
Thank you for reading my blog. Unfortunately, we don’t have a branch in Riyadh, maybe someday you will be able to come to Jeddah, give us a call 6675216/6658929 and we will be pleased to give you a consultation appt. I’ve tried “Bab al yemen many times and also blog about it. Good food ๐
I’m sorry, I can’t refer you to anyone in Riyadh, I don’t know who is the best Cosmetic Dentist there.
regards,
jamilamimi
LikeLike